← Return to list of services

Braces(Orthodontic)

‘Ortho’ in Greek means straight or making something straight, ‘donte’ means teeth, hence orthodontics means the science and arts of making teeth appear straight or align.

Our dentists are experienced and have been providing orthodontic treatment for patients for many years.

We use a variety of methods to align teeth, among them are removable appliances, metal and ceramic self-ligating braces as well as Invisible clear aligners.

Patients who had their braces many years ago are bringing their children in to have their teeth straightened.

We are extremely blessed to enjoy a constant stream of referrals from satisfied patients over the years.


Frequently Asked Questions

Why use self-ligating braces?

It has been proven to be more comfortable for our patients and treatment proceed more smoothly compared to conventional braces.

Are Braces painful?

Our patients’ feedback is a short term temporary discomfort during the first week of placement of braces.

Duration of complete treatment time?

Depending on a case to case basis, the average time taken is around 1.5 to 2 years. However, this highly depends on the compliance of each individual.

Are Invisible Aligners suitable for all cases?

Like any dental treatment, careful case selection is important for success. Clear aligners work well for certain cases. However, due to recent advances in technology, a wider range of cases are now suitable for clear aligners. Do reach out to us for for further enquiries.

What are the important things to consider during braces treatment?

Meticulous oral hygiene is necessary to keep your teeth and gums clean during braces treatment to avoid dental caries, "white spots" around the brackets and gum swelling.

Minimize chewing hard and chunky food (cut up your food), sticky foods, carbonated drinks and brush regularly to prevent plaque and tartar build up.

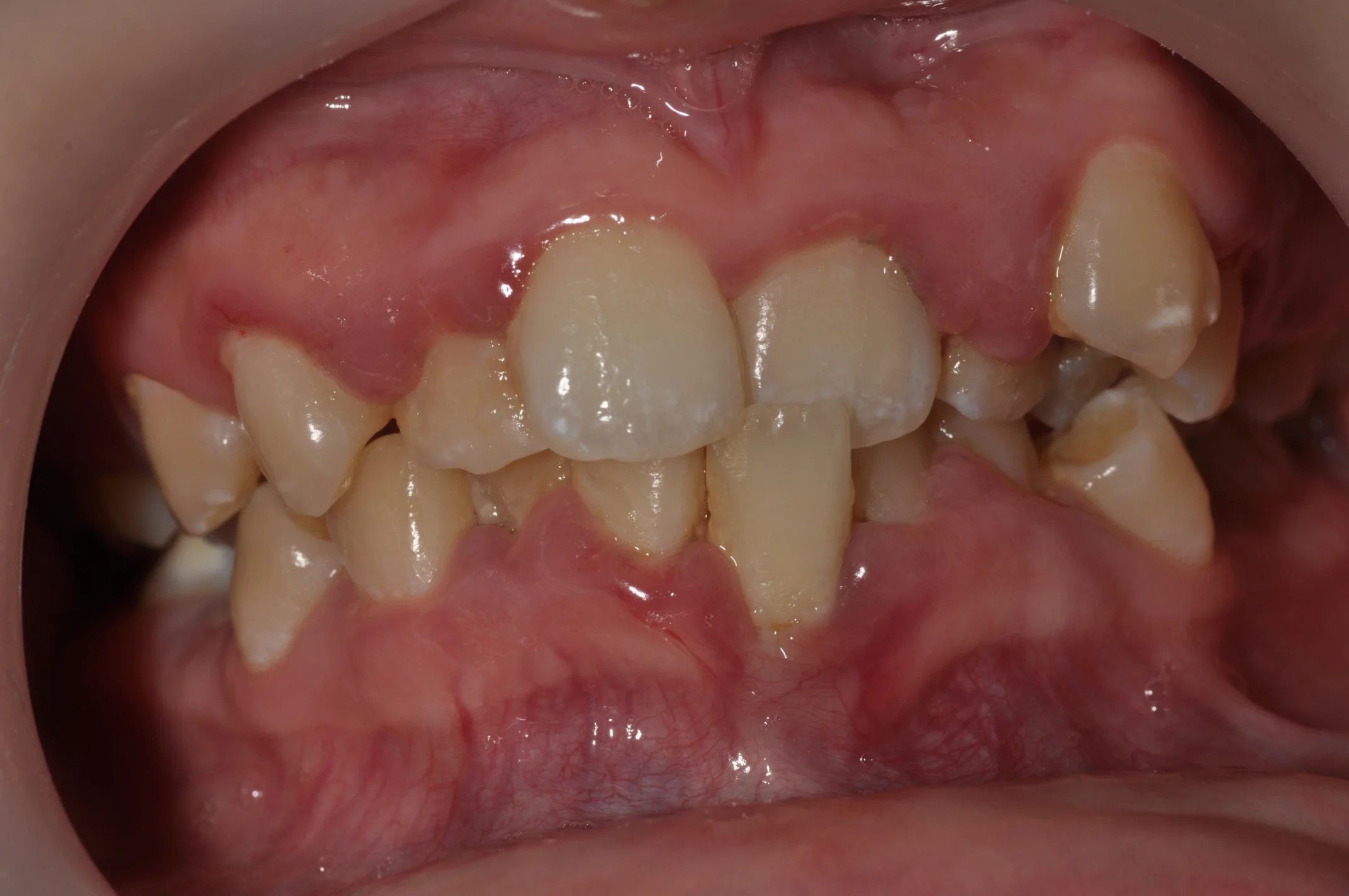
DSC_0017.JPG

Before

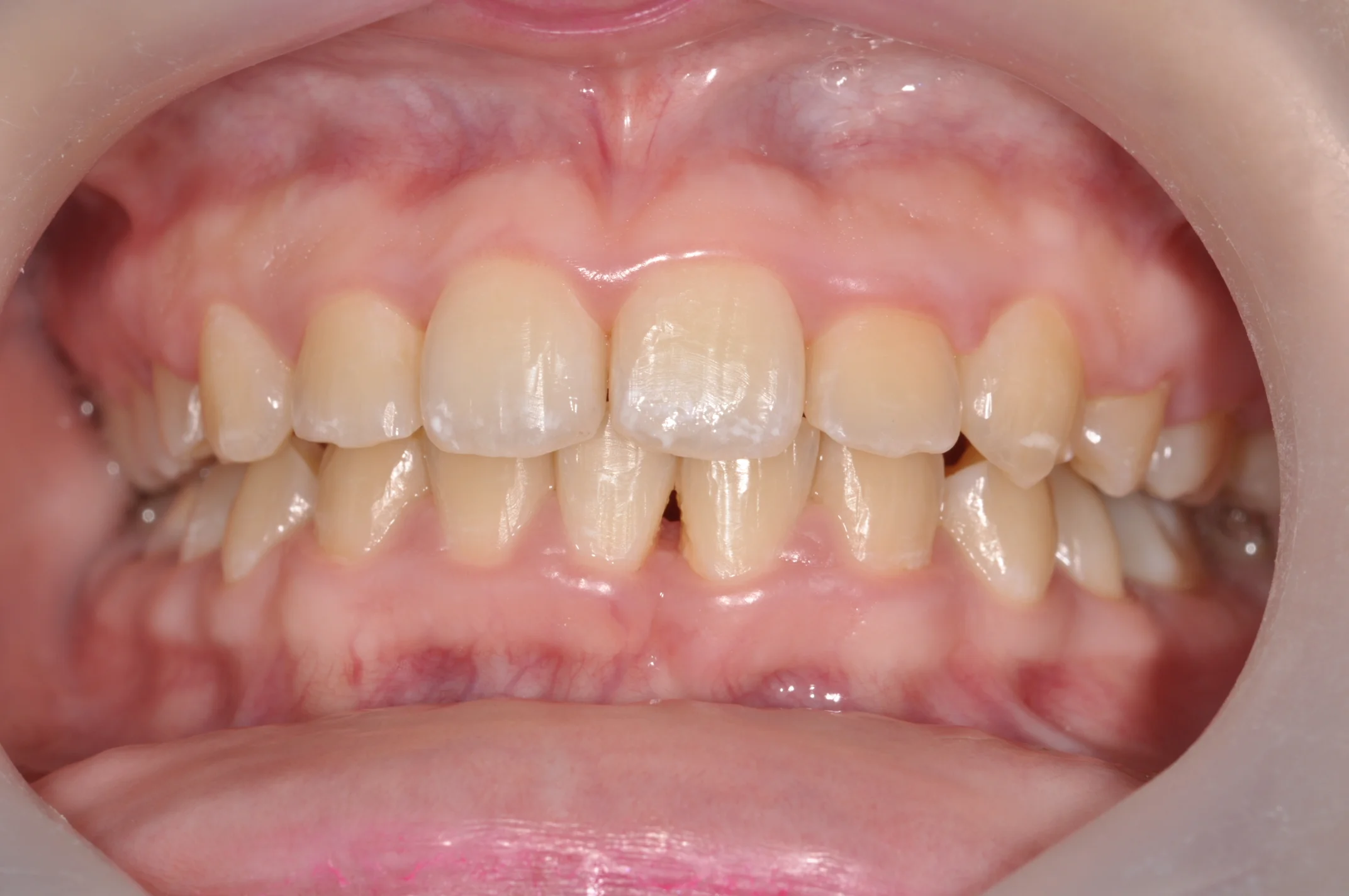
DSC_0215.JPG

After

DSC_0176 copy.jpg

Before

DSC_0248 - Copy.JPG

After

images-1.jpeg

Clear Aligner Treatments

Unknown-2.jpeg

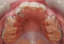
Removable Appliance

Unknown.jpeg

Self-Ligating Metal Braces

Self-Ligating Ceramic Braces

images.jpeg