← Return to list of services

Dental Implants

A dental implant mimics the form and function of a natural tooth, which consists of a root and a crown.

The crown is the visible part of your tooth in the mouth.

The crown is attached to the jawbone by way of the root. If the tooth is damaged beyond repair or when a periodontal disease has advanced enough to warrant an extraction, the entire tooth, root and all, is taken out.

The dental implant is a titanium root that gets fitted into a socket that we create in your jaw.

Once the implant heals, we place an artificial crown on top.

The new crown is customized to match your bite and the color of your teeth.

What are the BENEFITS of getting teeth implants?

  • They look and act like natural teeth

  • They can last a lifetime with the right care

  • You don’t need any adhesives

  • They improve appearance, comfort, and speech.

  • Your ability to chew food is far more superior than dentures.


Our dentists are very experienced in dental implant treatments, from simple single tooth replacements to full mouth rehabilitation.

At Lim Dental, dental implants are one of our main core services provided.

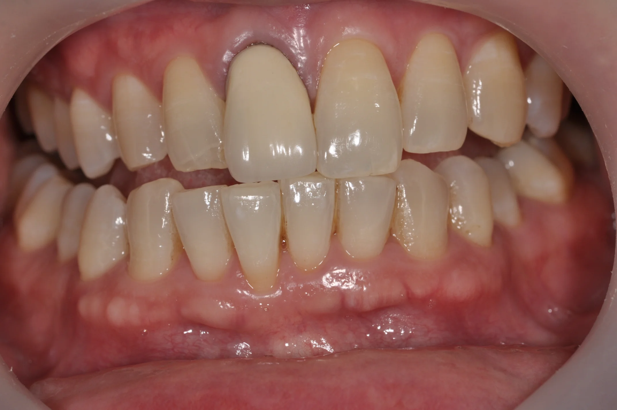
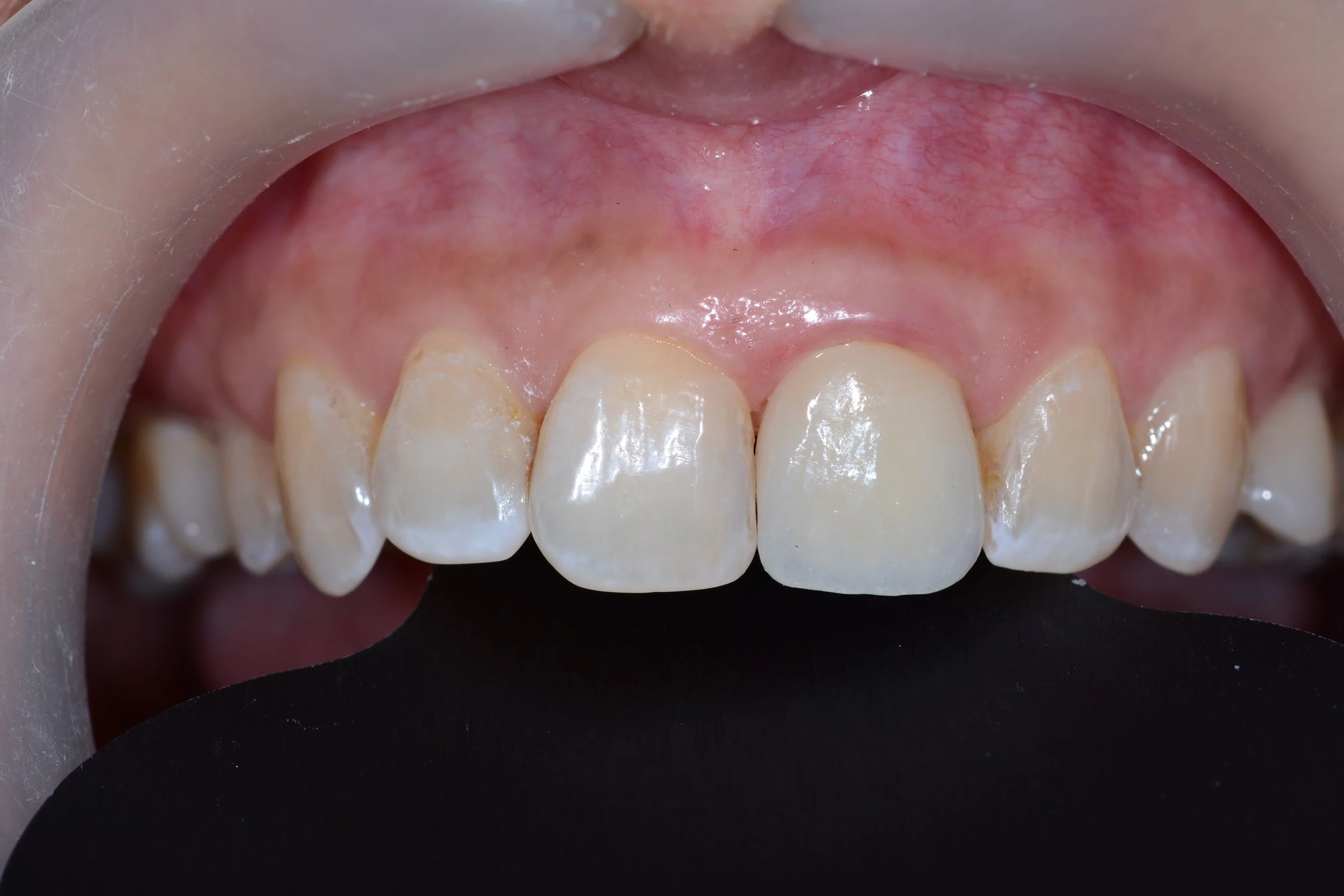
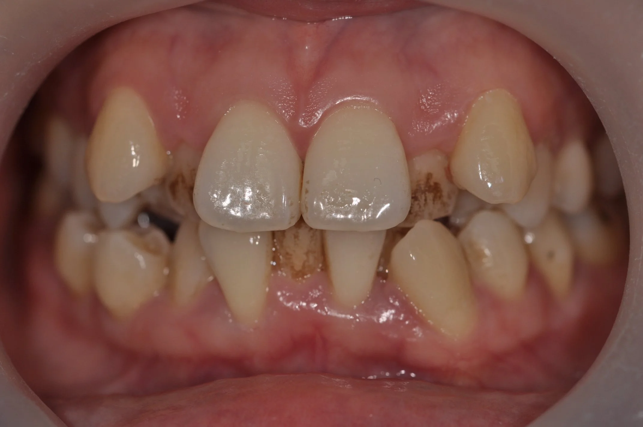
Jason Hp PA Preop.jpg

Failing Natural Central Incisor

(Upper front tooth)

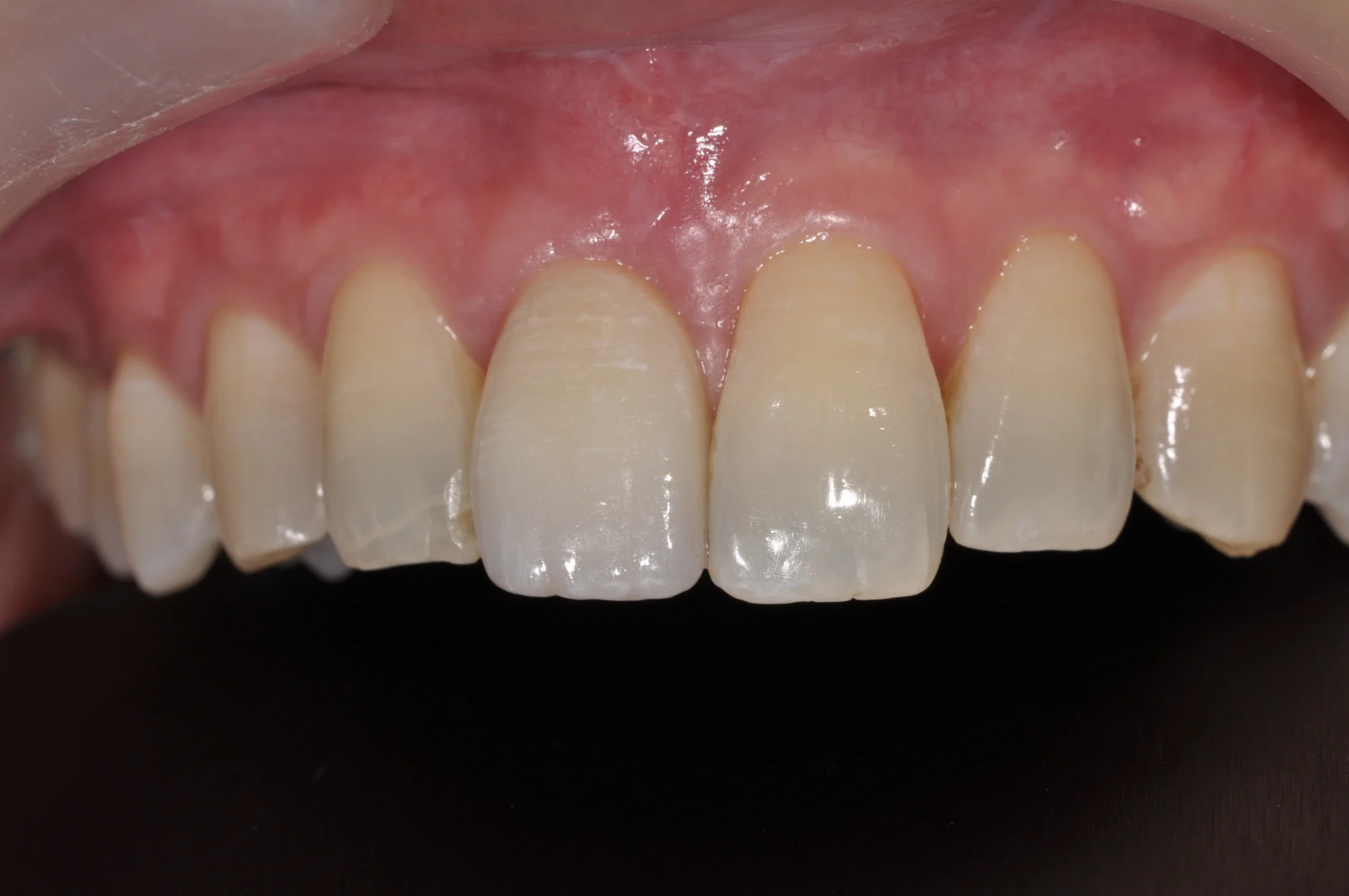
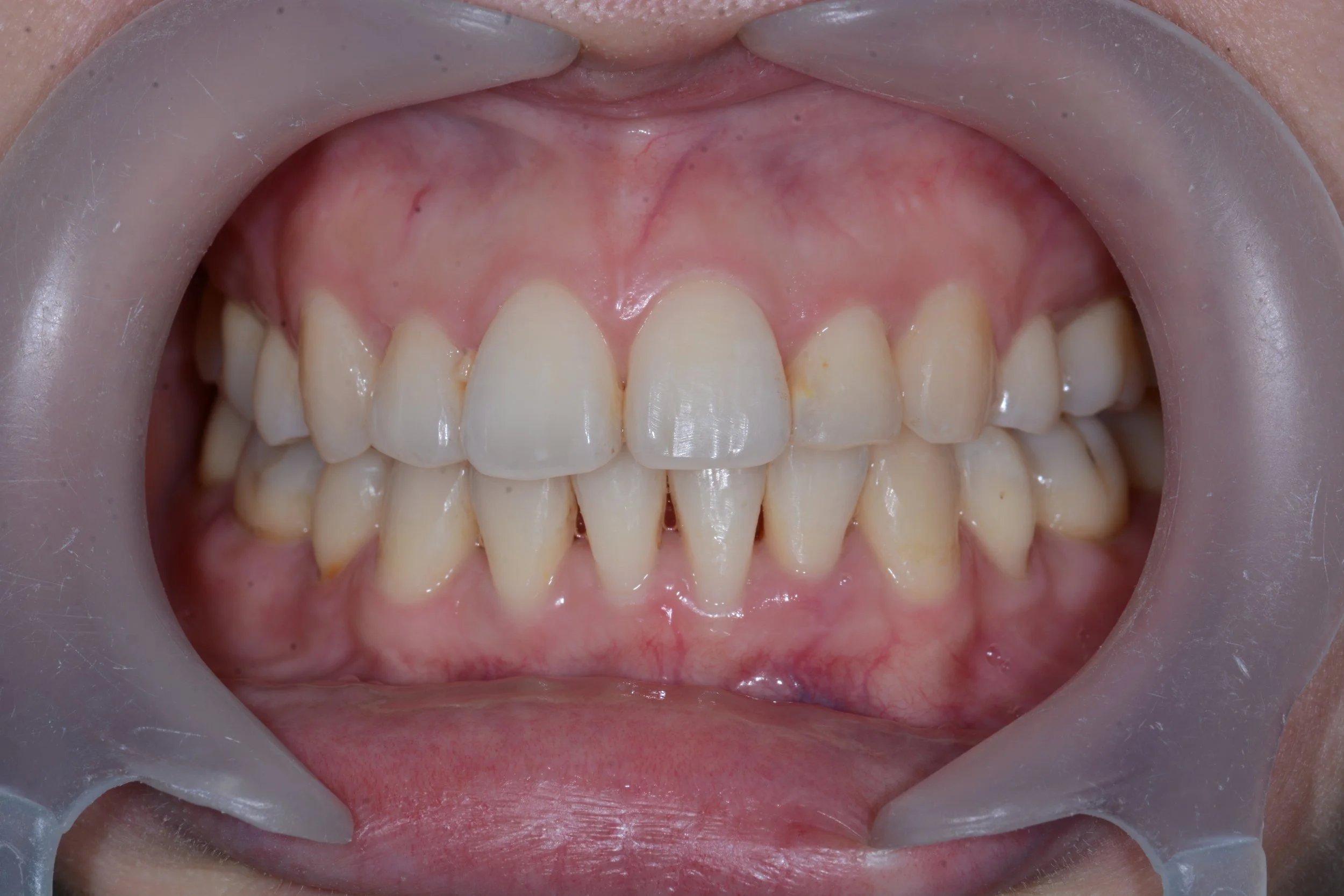
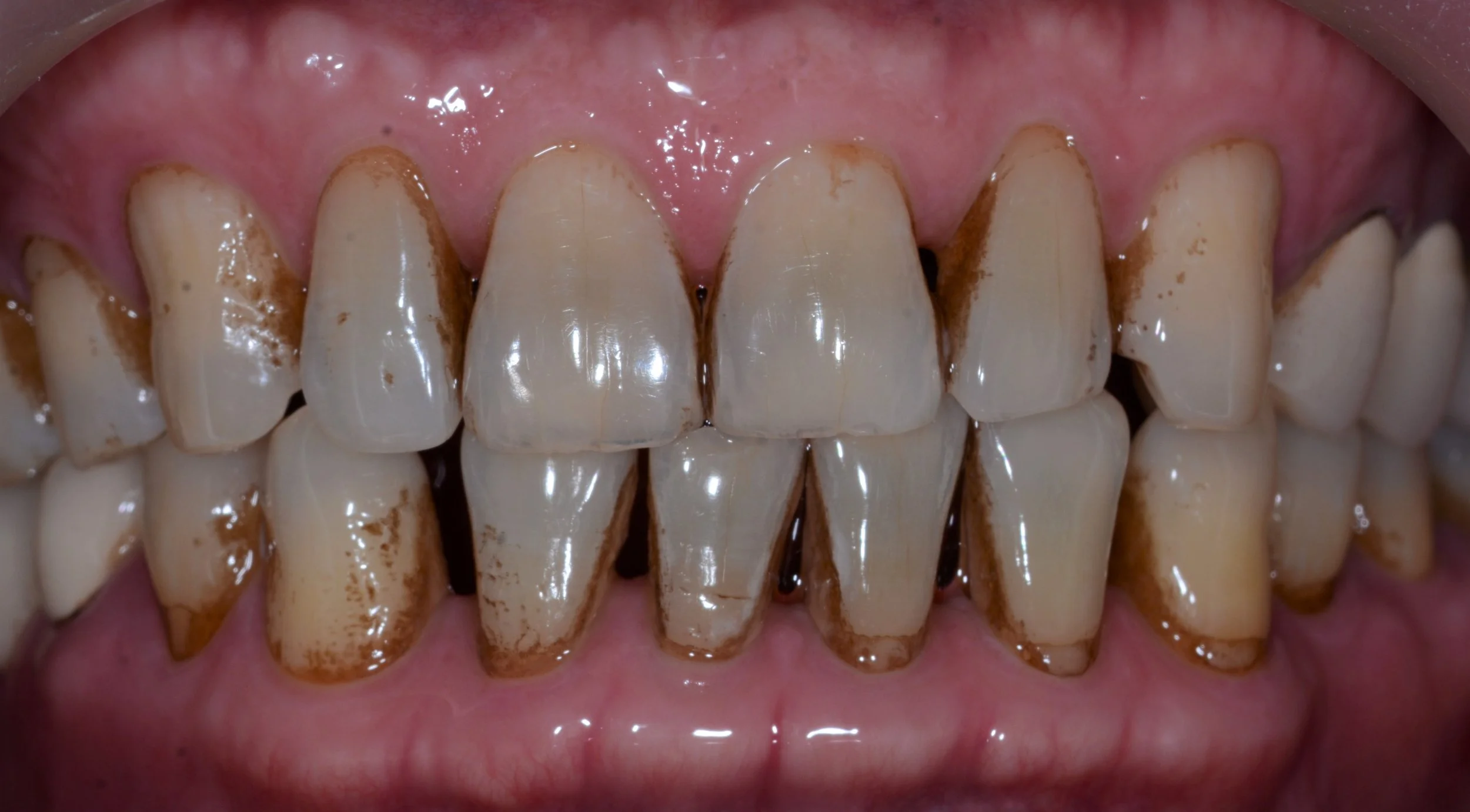
Jason Ho Issue implant-crown.jpg

Replacement with a dental implant and full ceramic crown

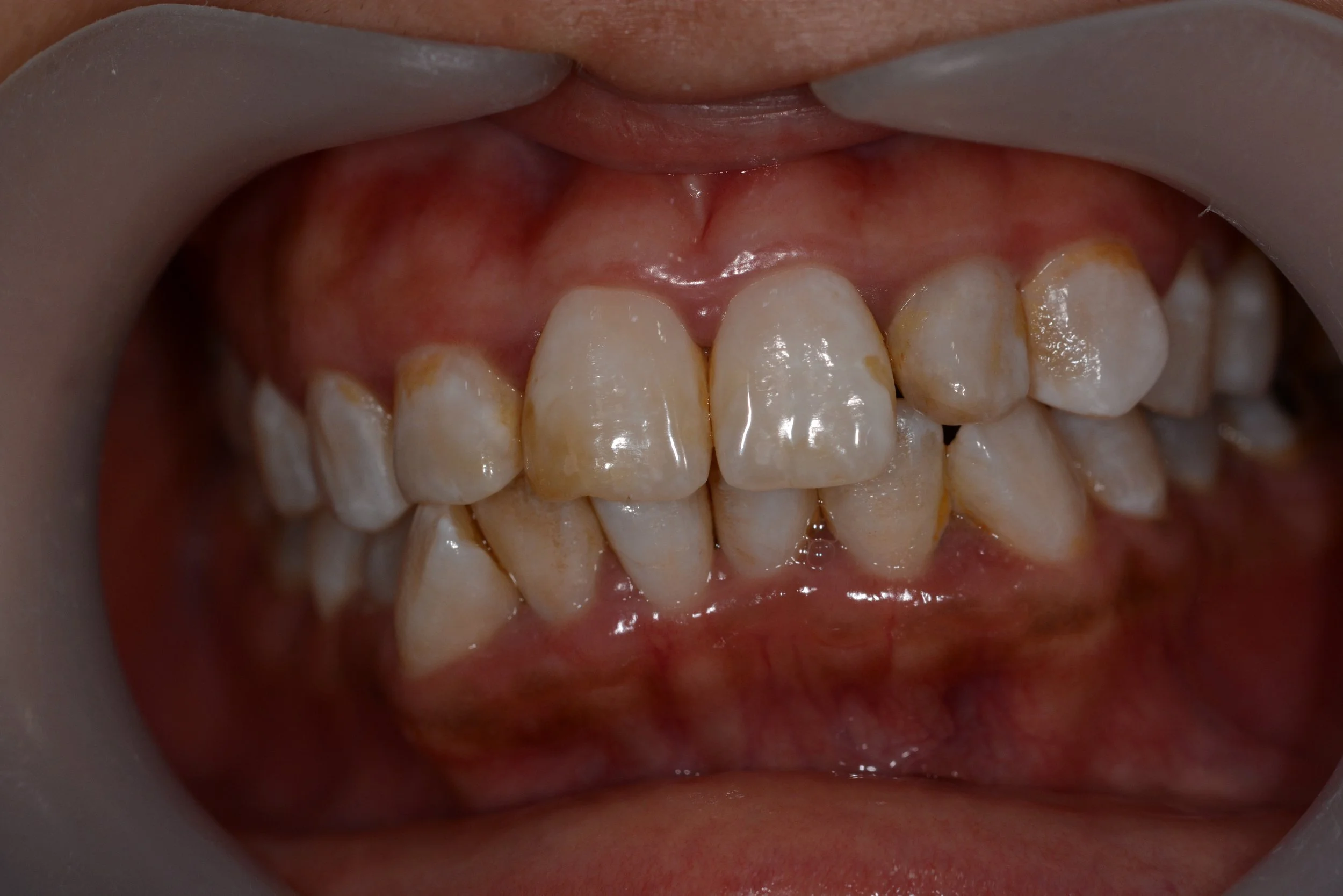
DSC_1041.JPG
DSC_1011.JPG

BEFORE

SINGLE FRONT TOOTH IMPLANT

A Video Showing The Step-by Step of Dental Implant Treatment

Restoring aesthetics and function of a failing dentition is our main goal. When you smile, it brings us joy.

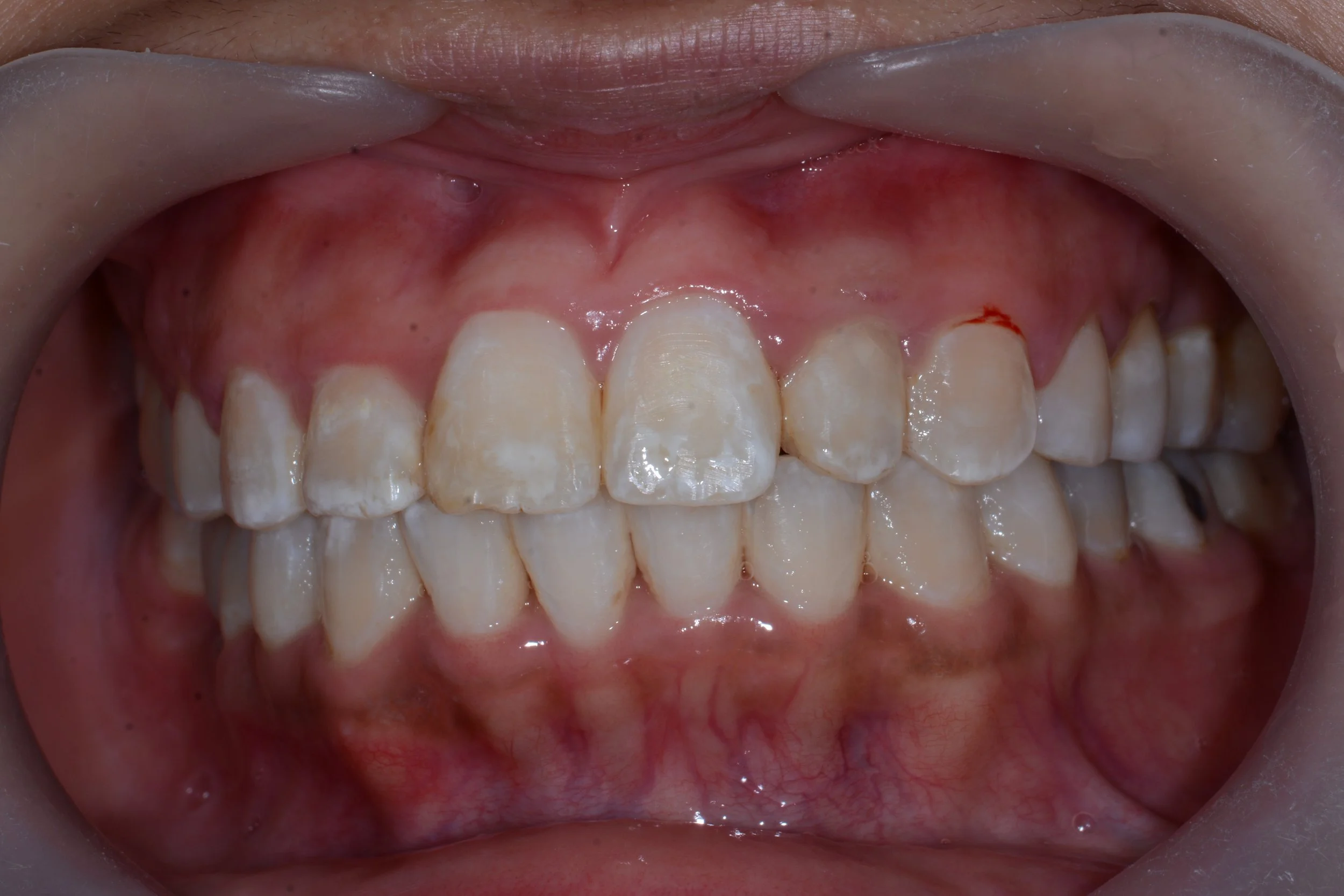
DSC_0935.JPG
Panoramic dental X-ray showing upper and lower teeth with some dental restorations, including crowns and fillings, and the surrounding jawbone.
DSC_0285.JPG

AFTER

Dental X-ray showing several dental implants, crowns, and bridges in the upper and lower jaw.

MULTIPLE TEETH REPLACEMENT

(WITH DENTAL IMPLANTS)