← Return to list of services

Crowns, Bridges and Veneers

If you have a damaged or decayed tooth, our dentists can help you choose the best solution.

Crowns and bridges are custom-fitted tooth prosthetics that function and look like natural, healthy teeth.

Veneers are a less invasive alternative, but may only be a solution for those with slight tooth damage or discoloration.

Veneers are thin porcelain or resin shells come in customizable colors and are bonded to the surface of your teeth.


Crowns

A crown, otherwise known as a cap, is custom-fitted to your bite and is placed over your natural tooth or dental implant.

We recommend this procedure for those who have teeth that are damaged or decayed on the surface without extensive damage to the tooth root.

‍ ‍NEW Digital Dentistry

  1. We will trim the affected tooth for a proper crown fit.

  2. A digital Impression will be taken of your bite for crown fabrication (No More Messy Impression materials)

  3. Using modern CAD CAM technology, veneers, crowns and bridges are completed in a short period of time, often within few hours (1 Day Crowns) 


Bridges

To replace a missing tooth with adjacent healthy teeth, or a tooth that has been missing for a long time (i.e., with gum recession around the area), we may recommend bridges.

Types of Bridges:

  • Traditional — Caps are bonded over teeth that lie on either side of the missing one

  • Cantilever — Cap is bonded over a single tooth next to the missing one

  • Resin-bonded — Porcelain or plastic teeth with gums that are supported by metal “wings”

In the advent of implant dentistry, we strongly advocate for less invasive and damaging procedures that affect healthy teeth.


Veneers

If you’re looking to cosmetically correct and enhance the appearance of one or more teeth, we suggest veneers.

They are very thin, porcelain or resin shells that you can customize in color and shape. They are minimally invasive and are more resistant to future stains.

Common uses for Veneers:

  • Chipped or broken teeth

  • Misshapen or irregular teeth

  • Teeth that do not respond to traditional whitening treatments

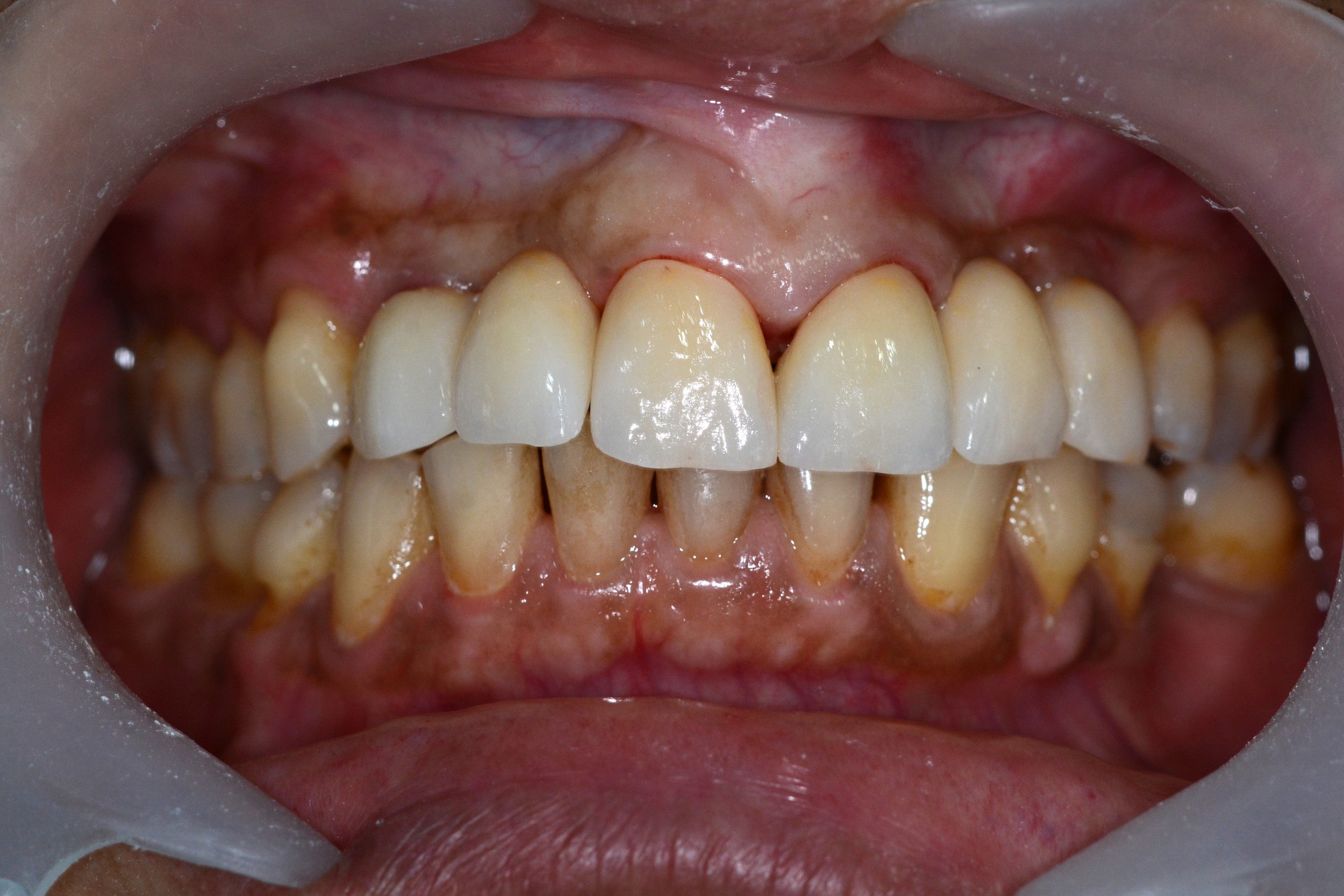
BEFORE

BEFORE

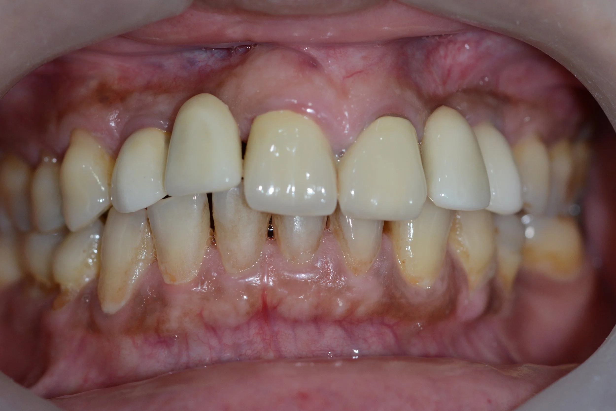
AFTER

Close-up of an open mouth showing upper and lower teeth and pink gums.

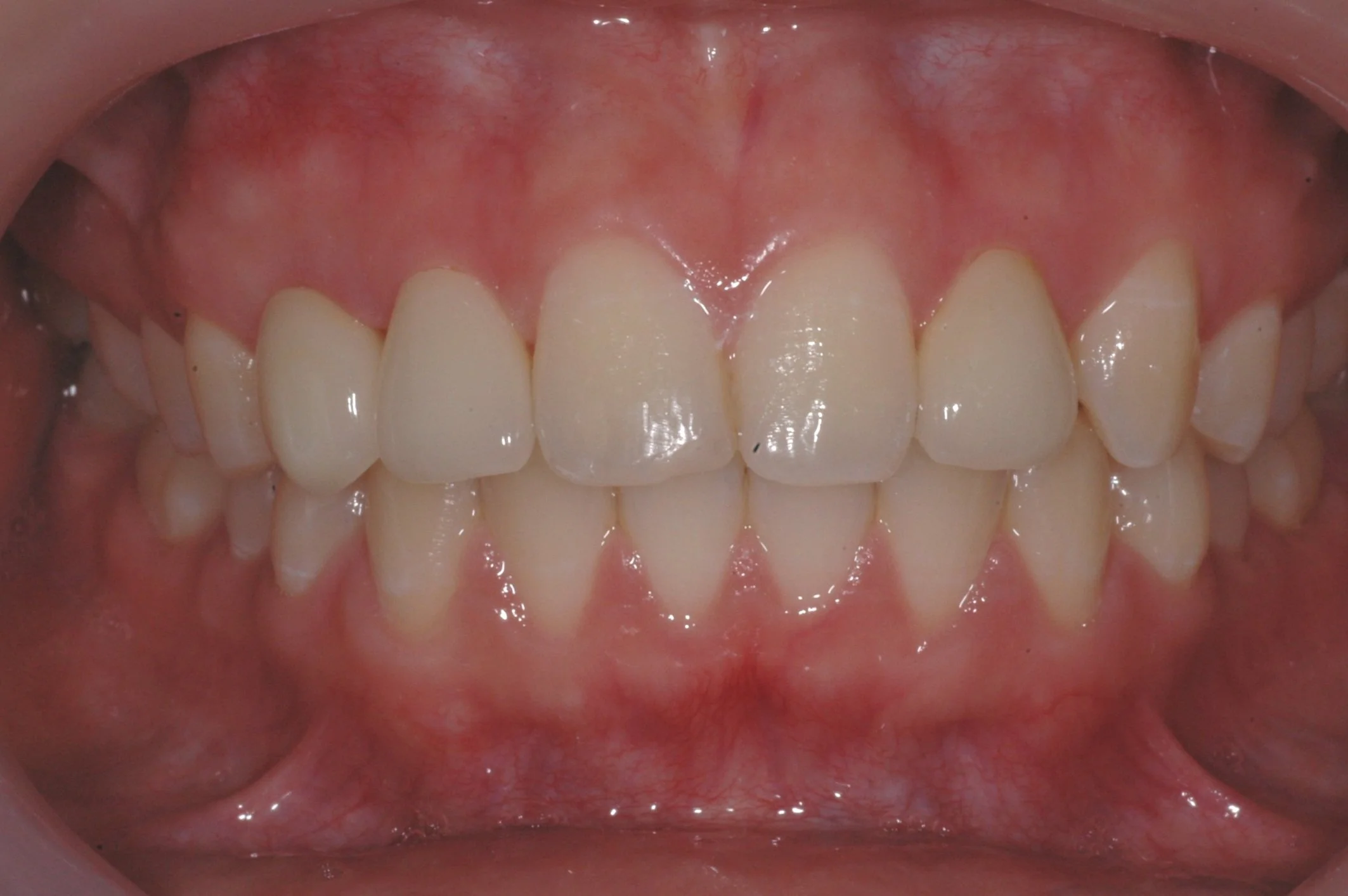
Small & Uneven Teeth

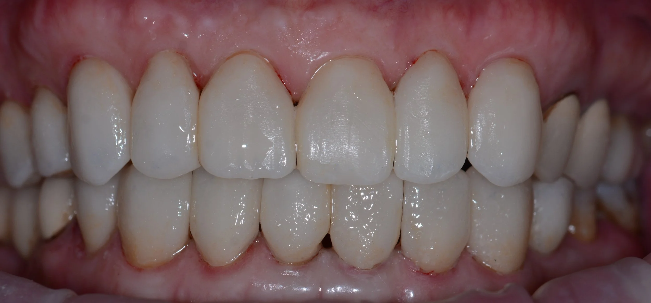
Close-up of a person's upper front teeth and gums with healthy pink gums and white teeth.

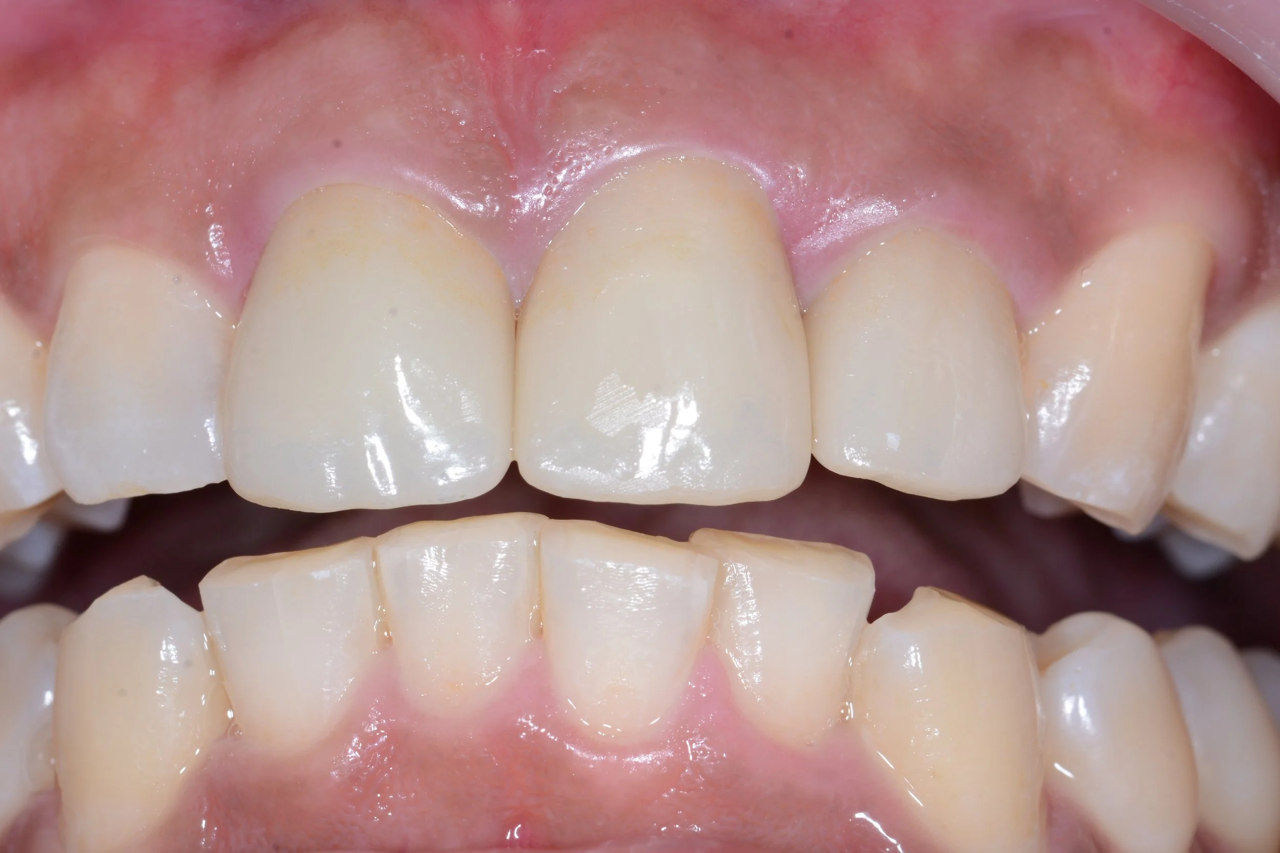
After Crowning.. spot the artificial from the natural teeth.

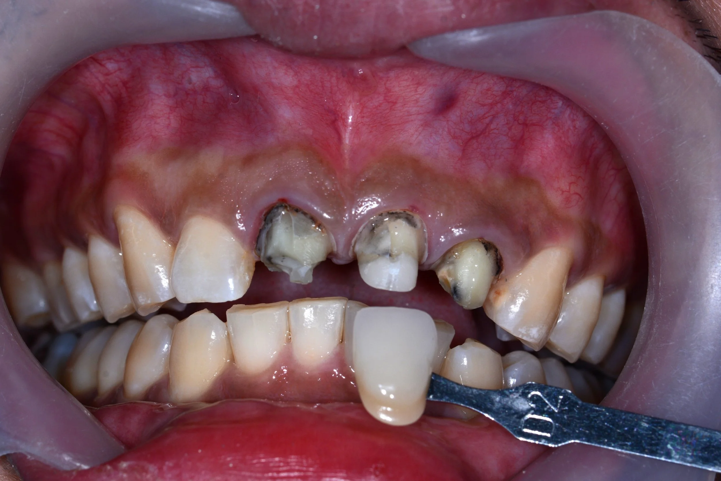
Close-up of an open mouth showing teeth with severe decay, inflamed gums, and dental tools.

After the Old Crowns Were Removed

Close-up of five dentures or dental prosthetic teeth arranged in a row on a dark surface.

One Day Crowns

Close-up of upper and lower human teeth and gums, showing clean, white teeth with pink gums.
Digital Intraoral Scan and CAD CAM (1 Day Crown)

Digital Intraoral Scan and CAD CAM (1 Day Crown)

Close-up of a person's open mouth showing upper and lower teeth with some gum inflammation and redness.

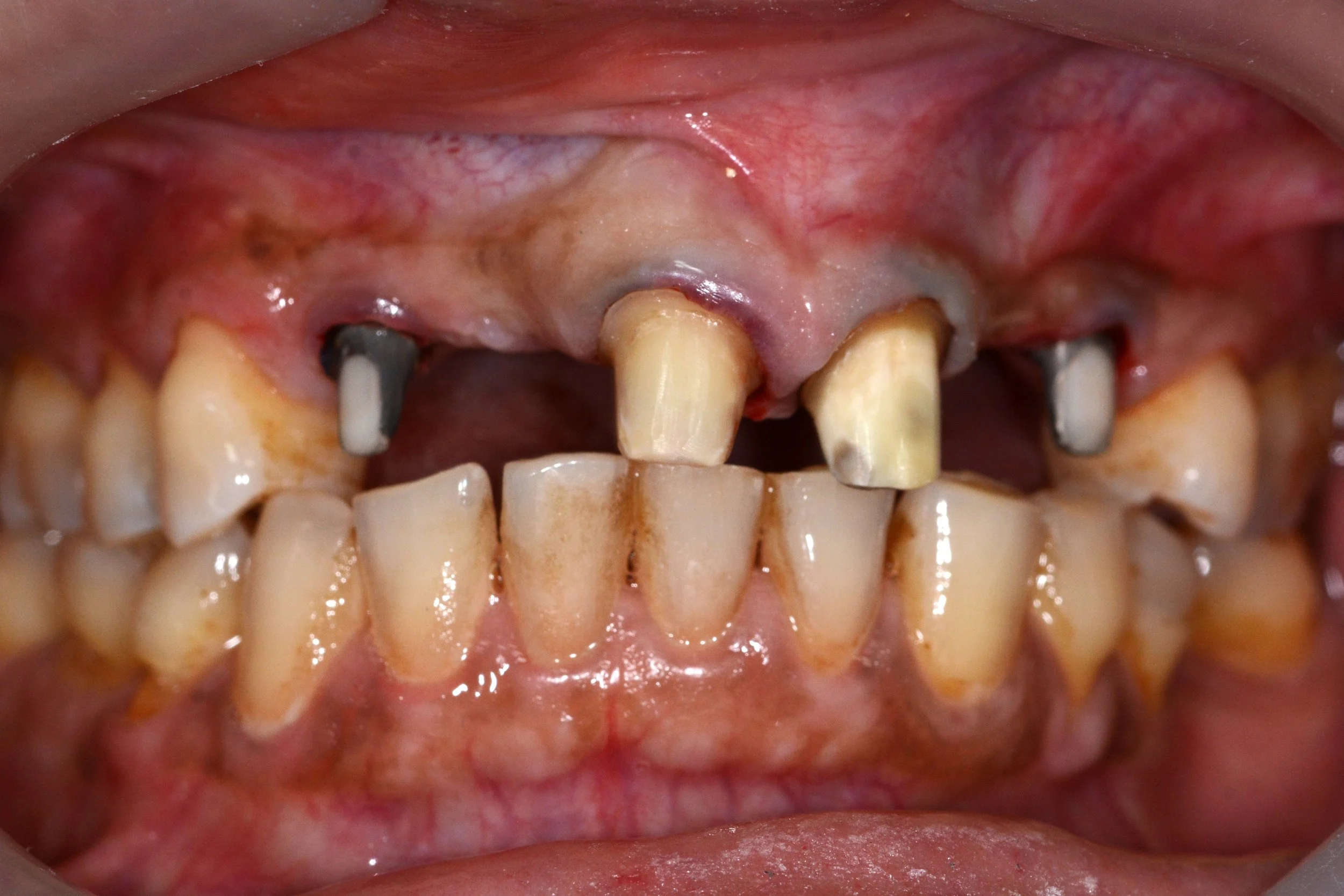
Before Treatment- Unaesthetic crowns and bridge

Close-up of a person's mouth showing multiple teeth, some of which are decayed, broken, or missing, with gums that appear inflamed.
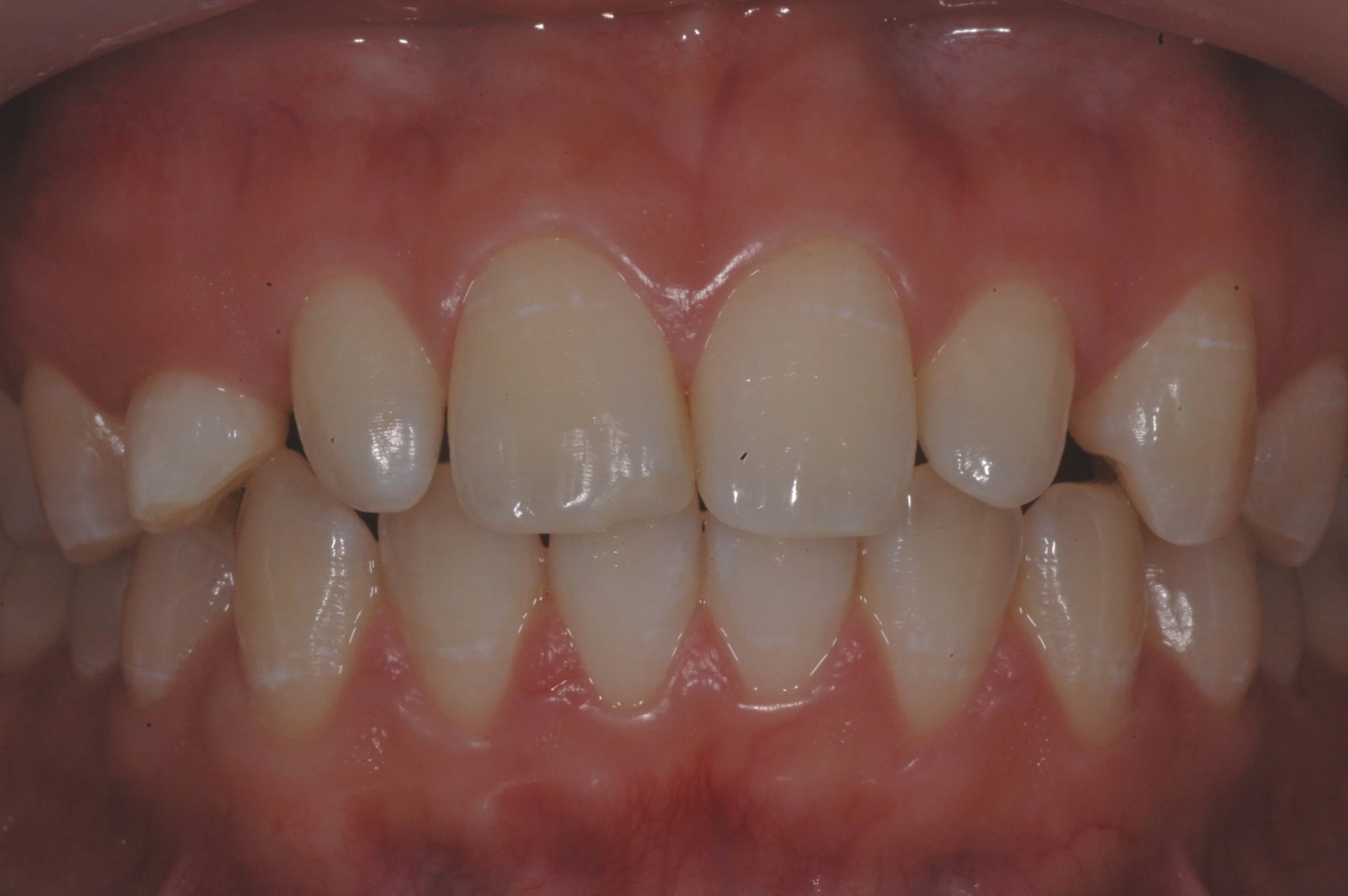
Close-up of an open mouth showing upper and lower teeth with some plaque buildup and gum redness.

After Treatment in 2 hours- Improve Aesthetics and Function

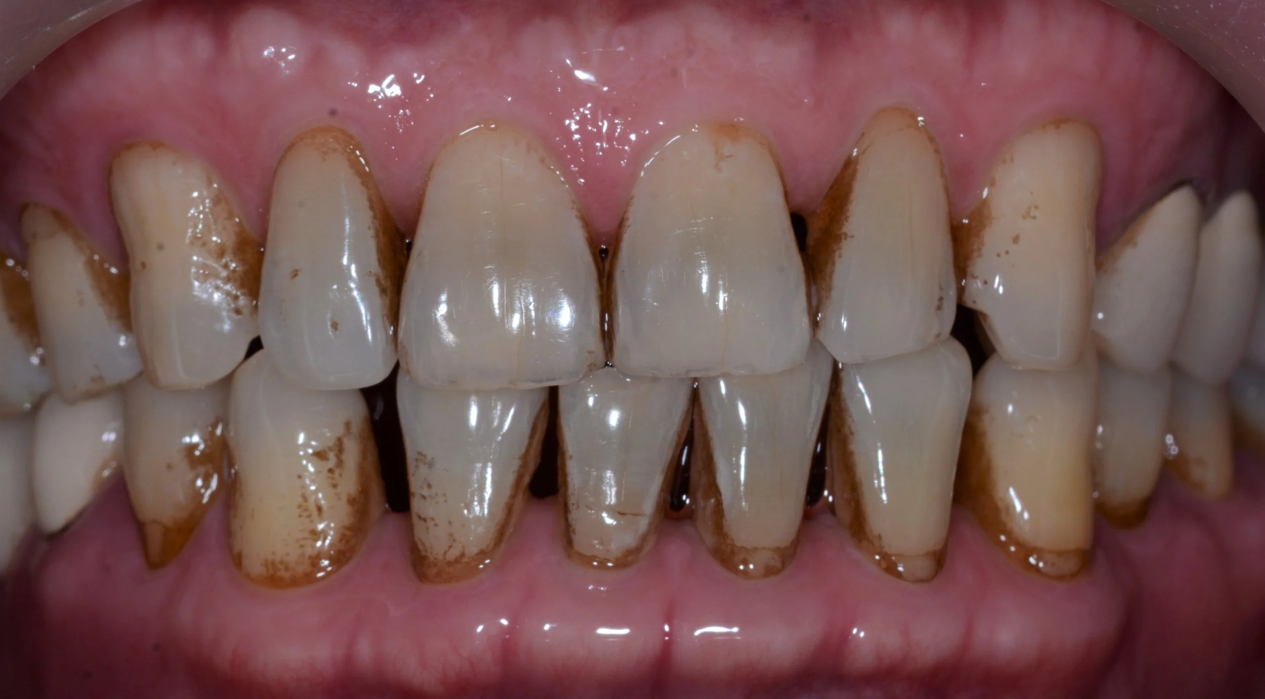
Close-up of teeth and gums showing stained teeth with brown deposits and plaque buildup, indicating poor oral hygiene.

Discoloured, Heavy Stain And Spacing In Between Teeth

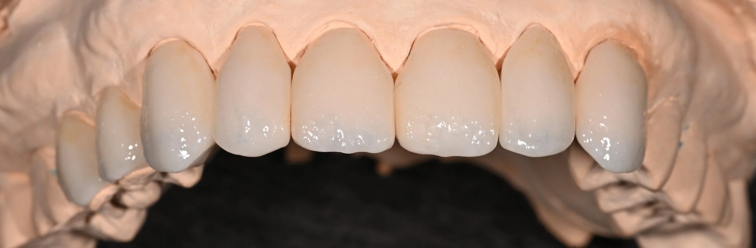
Close-up of dental crowns on a dental arch, with a medical model in the background.

EMax Milled Veneers

Close-up of a dental model showing white dental crowns on the front teeth set in pink gum base.
Close-up of upper and lower teeth with healthy gums.